歯科用3D(立体)CT導入いたしました!
この度、当院で「歯科用CT」を導入いたしました。
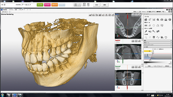
このCT導入により、お口全体の立体画像や断層画像が撮影でき、あごの骨の形態、神経や血管の位置、さらに骨密度の診査も可能となりました。
根の治療や歯周病治療、難しい抜歯などあらゆるケースにおいて、より正確で安全確実な診断が行えます。
心配されるのが放射線による被ばくですが、フィルムタイプのレントゲンに比べ当院のレントゲンは被ばく量が半分(50%)に軽減されるので、
ちいさいお子様なども安心して撮影を行うことができます。
ご不明な点や、ご質問などありましたらスッタフまでお問い合せください!

2021年01月26日 15:41
